Giải quyết vấn đề mụn lưng với xà bông dừa, xà bông for back
Mụn lưng là một vấn đề phổ biến và gây khó chịu. Xà bông dừa( xà bông for back) giúp làm sạch da, điều chỉnh tiết dầu và giảm vi khuẩn trên da.
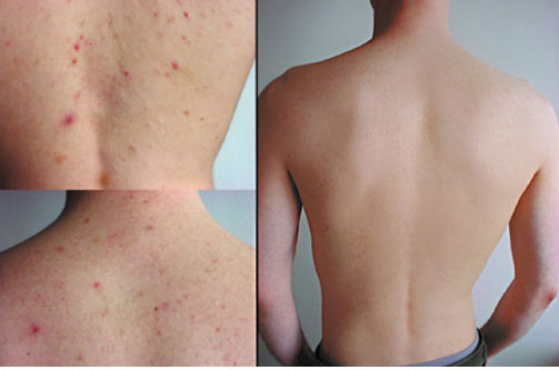
Mụn lưng là một vấn đề phổ biến và gây khó chịu cho nhiều người. Nguyên nhân gây mụn lưng có thể do tăng tiết dầu, vi khuẩn, tắc nghẽn lỗ chân lông, sử dụng sản phẩm không phù hợp. Trong bài viết này, chúng ta sẽ tìm hiểu về cách sử dụng xà bông dừa để trị mụn lưng.
xà bông for back
xem>> khả năng trị mụn của xà bông dừa <<tại đây.
Dễ dàng>> lựa chọn sản phẩm trên tiki << tại đây.
Mụn lưng làm giảm tự tin và gây khó chịu trong cuộc sống hàng ngày. Sử dụng xà bông dừa ( một loại xà bông for back ) có thể giúp làm sạch da, điều chỉnh tiết dầu và giảm vi khuẩn trên da. Xà bông dừa là một sản phẩm tự nhiên, không chứa hóa chất gây hại cho da.
xà bông for back
Khám phá>> công dụng trị mụn lưng của xà bông dừa <<tại đây.
Xà bông dừa có khả năng làm sạch da hiệu quả nhờ vào thành phần tự nhiên và các axit béo có trong dừa. Các axit béo trong xà bông dừa giúp cung cấp độ ẩm cho da và làm giảm tình trạng da khô, mất nước. Xà bông dừa còn có khả năng làm giảm vi khuẩn trên da, ngăn ngừa mụn lưng tái phát.
Để trị mụn lưng hiệu quả, trước tiên hãy chọn xà bông dừa tự nhiên. Chọn xà bông dừa không chứa hóa chất và các thành phần tự nhiên để đảm bảo an toàn cho da.
xà bông for back
click vào đây>> để xem youtobe <<về xà bông.
Sau khi đã rửa sạch da, lấy một lượng nhỏ xà bông dừa và tạo bọt trong lòng bàn tay. Thoa đều lên vùng da lưng và massage nhẹ nhàng trong khoảng 1-2 phút. Massage giúp xà bông dừa thẩm thấu vào da và làm sạch sâu các tạp chất còn sót lại trên da.
Để duy trì hiệu quả trị mụn lưng, hãy sử dụng xà bông dừa hàng ngày. Sử dụng xà bông dừa thường xuyên giúp làm sạch da, điều chỉnh tiết dầu và ngăn ngừa mụn lưng tái phát.
xà bông for back
Tóm lại, mụn lưng là một vấn đề phổ biến và gây khó chịu cho nhiều người. Sử dụng xà bông dừa có thể giúp làm sạch da, điều chỉnh tiết dầu và giảm vi khuẩn trên da. Để trị mụn lưng hiệu quả, hãy chọn xà bông dừa tự nhiên ( một loại xà bông for back ) và sử dụng thường xuyên.
Bạn có thể mua hàng tại : Tiki , Shopee, Lazada, Facebook..hoặc liên hệ trực tiếp với chúng tôi thông qua số điện thoại hoặc Zalo bên dưới.
CTY TNHH MTV CCFL.
CHUYÊN DẦU DỪA VÀ CÁC SẢN PHẨM TỪ DẦU DỪA.
https://ccfl.vn/
Đ T : 0931334608.
ZALO : 0931334608.
#ccfl #dauduaccfl #xabongdua #xaphongtrimunlung #xaphongdua #coconutoil #bmb #cocosavon #coconutoilsoap #coconutsoap #soap #xaphongdaudua #xabongtrimunlungnguc #xabongtrimunlung #xabongthiennhien #xaphonghandmade
CCFL One Member LLC.
SPECIALIZING COCONUT OIL AND FROM COCONUT OIL PRODUCTS
www.ccfl.vn
tel/ whatsapp : +84 - 931334608.
ZALO : 0931334608.
#ccfl #dauduaccfl #xabongdua #xa-bong-dua-ccfl #xaphongdua #coconutoil #coconutoilsoap #coconutsoap #soap #xaphongdaudua #trimunlungnguc #nguamunnguc




Xem thêm