Xà Phòng Tắm Trị Mụn Lưng: Giải Pháp Hiệu Quả Cho Vấn Đề Mụn Lưng
Mụn lưng gây tổn thương tâm lý và tự tin. Xà phòng tắm trị mụn, đặc biệt là xà phòng tinh dầu dừa, đã được chứng minh là hiệu quả trong việc giải quyết vấn đề này.
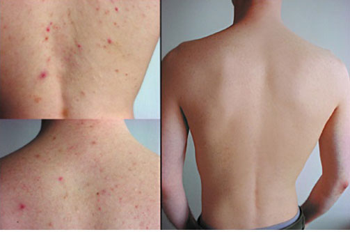
Mụn lưng là một vấn đề phổ biến và gây ảnh hưởng tiêu cực đến sự tự tin và tâm lý của người bị mụn. Nguyên nhân gây mụn lưng có thể là do tăng sản xuất dầu, vi khuẩn, tắc nghẽn lỗ chân lông hoặc do áp lực và căng thẳng. Để giải quyết vấn đề này, xà phòng tắm trị mụn, đặc biệt là xà phòng tinh dầu dừa, đã được chứng minh là hiệu quả.
xà phòng tắm trị mụn
Xem>> công dụng xà bông dừa <<tại đây.
Dễ dàng>> chọn sản phẩm trên tiki <<bạn nhé.
Khi bị mụn lưng, nhiều người cảm thấy mặt cảm và tự ti
Họ tránh tiếp xúc với người khác và không tự tin khi diện những bộ trang phục hở vai hay lưng. Một số nghiên cứu đã chỉ ra rằng 60% người bị mụn lưng có xu hướng giảm sự tự tin và 45% đã từ chối tham gia các hoạt động xã hội vì lo ngại về ngoại hình của mình.
xà phòng tắm trị mụn
Khám phá>> xà bông trị mụn<<tại đây.
xaem>> video xà bông dừa <<bạn nhé.
Để giải quyết vấn đề này
Xà phòng tắm trị mụn là một giải pháp hiệu quả. Trong số các loại xà phòng này, xà phòng tinh dầu dừa được coi là một lựa chọn tốt. Xà phòng tinh dầu dừa có chứa các thành phần tự nhiên như dầu dừa, glycerin và các loại tinh dầu thiên nhiên khác. Các thành phần này có khả năng làm sạch da, giảm vi khuẩn và làm dịu da bị viêm.
xà phòng tắm trị mụn
Công dụng
Xà phòng tinh dầu dừa trong việc trị mụn lưng đã được chứng minh qua nhiều nghiên cứu. Một nghiên cứu đã chỉ ra rằng sử dụng xà phòng tinh dầu dừa hàng ngày trong 4 tuần có thể giảm mụn lưng đáng kể. Xà phòng này không chỉ giúp làm sạch da mà còn giúp điều chỉnh sản xuất dầu tự nhiên trên da, ngăn chặn sự hình thành mụn mới và làm giảm viêm.
Để sử dụng xà phòng tinh dầu dừa để trị mụn lưng, bạn có thể thực hiện các bước sau:
1. Làm ướt cơ thể bằng nước ấm.
2. Thoa xà phòng tinh dầu dừa lên da lưng và masage nhẹ nhàng trong khoảng 1-2 phút.
3. Rửa sạch bằng nước ấm và lau khô da bằng khăn mềm.
4. Sử dụng xà phòng tinh dầu dừa hàng ngày để đạt hiệu quả tốt nhất.
xà phòng tắm trị mụn
Sử dụng xà phòng tinh dầu dừa để trị mụn lưng không chỉ giúp làm giảm mụn mà còn mang lại nhiều lợi ích khác cho da. Xà phòng này chứa các thành phần tự nhiên như dầu dừa, có khả năng làm mềm da và giữ ẩm cho da, giúp da luôn mịn màng và không bị khô. Ngoài ra, xà phòng tinh dầu dừa còn có khả năng làm sáng da, giúp làm mờ các vết thâm và sẹo do mụn lưng gây ra. Đồng thời, xà phòng tinh dầu dừa cũng có tác dụng làm se lỗ chân lông, ngăn chặn sự tích tụ bụi bẩn và dầu nhờn trên da, từ đó giúp ngăn ngừa mụn lưng tái phát.
Ngoài việc sử dụng xà phòng tinh dầu dừa để trị mụn lưng, bạn cũng nên tuân thủ các biện pháp chăm sóc da hàng ngày để duy trì làn da khỏe mạnh. Hãy luôn giữ da lưng sạch sẽ bằng cách tắm hàng ngày và rửa sạch sau khi vận động hoặc tiếp xúc với môi trường ô nhiễm. Hạn chế việc sử dụng các sản phẩm chứa hóa chất gây kích ứng cho da và hạn chế tiếp xúc với ánh nắng mặt trời quá lâu.
xà phòng tắm trị mụn
Ngoài ra, việc duy trì một lối sống lành mạnh cũng rất quan trọng trong việc điều trị và ngăn ngừa mụn lưng. Hãy ăn uống đủ chất dinh dưỡng, tránh ăn quá nhiều đồ chiên, mỡ và đường. Hạn chế stress và tìm cách thư giãn để giảm bớt sự tiết dầu trên da. Đặc biệt, hãy luôn giữ vùng lưng thoáng khí và tránh tiếp xúc với áo quần bị ẩm ướt hoặc bẩn.
Trong tổng thể, xà phòng tinh dầu dừa là một phương pháp hiệu quả để trị mụn lưng. Việc sử dụng xà phòng tinh dầu dừa để tắm mỗi ngày là 1 liệu pháp vô cùng hữu hiệu và đơn giãn để điều trị và ngăn ngừa mụn lưng tái phát.
Bạn có thể mua hàng tại : Tiki , Shopee, Lazada, Facebook, Tiktok...hoặc liên hệ trực tiếp với chúng tôi thông qua số điện thoại hoặc Zalo bên dưới.
CTY TNHH MTV CCFL.
CHUYÊN DẦU DỪA VÀ CÁC SẢN PHẨM TỪ DẦU DỪA.
https://ccfl.vn/
Đ T : 0931334608.
ZALO : 0931334608.
#ccfl #dauduaccfl #xabongdua #xaphongtrimunlung #xaphongdua #coconutoil #bmb #cocosavon #coconutoilsoap #coconutsoap #soap #xaphongdaudua #xabongtrimunlungnguc #xabongtrimunlung #xabongthiennhien #xaphonghandmade
CCFL One Member LLC.
SPECIALIZING COCONUT OIL AND FROM COCONUT OIL PRODUCTS
www.ccfl.vn
tel/ whatsapp : +84 - 931334608.
ZALO : 0931334608.
#coconutoil #coconutoilsoap #coconutsoap #soap #xaphongdaudua #trimunlungnguc #nguamunnguc





Xem thêm